Уретральные стенты: an update

Доклад доцента кафедры ММА им.Сеченова М.А. Газимиева
посвящен технике установки уроспирали в лечении больных
инфравезикальной обструкцией.
Отмечено, что радикальным способом лечения инфравезикальной
обструкции является открытая или эндоскопическая операция.
Однако при наличии тяжелых сопутствующих заболеваний, отказе
пациента от операции, необходимости отсрочки операции иногда
возникает необходимость в установке временных или постоянных
интралюминальных протезов.


Продемонстрирована методика установки стента «Urospiral
2».

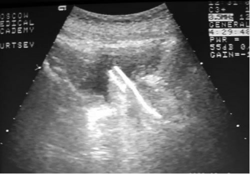
Контроль расположения спирали на рентгенограмме и при ультразвуковом
контроле непосредственно после установки.


Контроль расположения стента через 6 месяцев.

Видео ролик с фильмом автора доклада М. А. Газимиева -
"UROSPIRAL2 (PORGES) в лечении больных
с инфравезикальной обструкцией". Оперирирует
д.м.н. М. А. Газимиев, ассистирует к.м.н. Акопян Г. Н.
  
Автор отчета: Алтунин
Денис Валерьевич
|