Морфологическое обоснование стратегии выбора метода оперативного
лечения обструкции мочеточников у детей

Профессор Ю.В.Кудрявцев

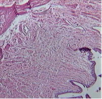
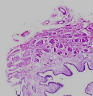
В своем докладе профессор Ю.В.Кудрявцев продемонстрировал
гистологическо-патологические изменения при различных формах
и степенях мегауретеров.
Первый тип распределения соединительной ткани (соединительная
ткань занимает менее 25% длины его периметра)
Второй тип: соединительной ткани по периметру мочеточника,
он занимает от 26 до 75% величины периметра.

Третий тип: соединительная ткань занимает более 75% длины
периметра мочеточника.

В докладе также приведены основные мофологические изменения
в зависимости от типа распределения соединительной ткани
в стенке мочеточника с использованием микроскопии и гисто-химических
исследований.
Автором сделаны выводы о снижении эффективности оперативного
лечения при наличии воспалительной реакции и наличии атрофичных
клеточных форм в стенке мочеточника при обструктивных формах
мегауретера.
Автор обзора и фотографий: Алтунин
Денис Валерьевич
|