Нефролитиаз гиперпаратиреоидной этиологии у детей

Профессор Павлов А.Ю.

Доклад профессора Павлова А.Ю. посвящен актуальной проблеме
выбора тактики лечения нефролитиаза гиперпаратиреоидной
этиологии. Аудитория ознакомлена с опытом лечения детей
с данной патологией в НИИ урологии.
Описана методология диагностики гиперпаратиреоидизма с
тяжелыми формами мочекаменной болезни у детей:
- Определение концентрации Са и Р в крови и моче
- Определение концентрации ионизированного Са в кроови
- Нагрузочный тест с глюконатом Са по Говарду
- Трансфеморальная катетеризация венозного щитовидного
сплетения с суперселективным взятием образцов крови для
определения концентрации паратиреоидного гормона, кальцитонина
и пролактина
- Рентгенография костей черепа, таза и кистей рук
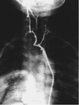
Продемонстрирована методика выполнения суперселективной
катетеризации венозного щитовидного сплетения.

В группе пациентов из 48 детей с МКБ гиперпаратиреоидизм
выявлен у 18(37,5%).
Ревизия и парциальная паратиреоидэктомия выполнена у 14
детей. Клинический диагноз подтвержден гистологически во
всех 14 случаях. Морфологически ткань представляла собой
аденому ПЩЖ или первичную гиперплазию ПЩЖ.
Докладчиком проведена оценка результатов теста Говарда.
Было отмечено, что использование результатов теста в классическом
варианте для точной диагностики ПГПТ у детей с тяжелыми
формами МКБ и сопутствующим пиелонефритом невозможно.
Так частота ложноположительных и ложноотрицательных результатов
теста связана с наличием сопутствующего пиелонефрита и нарушением
очистительной способности почек. В данной ситуации рекомендовано
производить расчет отклонения фактического показателя теста
Говарда от нормы по предложенной формуле.
Для диагностики ПГПТ у детей с МКБ, осложненной
пиелонефритом и дефицитом очистительной способности почек,
при положительном тесте Говарда, показатель отклонения теста
от нормы должен быть не ниже 7,89 +- 2,0%.
В этом случае, по мнению докладчика, достоверность диагностики
ПГПТ достигает 99%.
Автор обзора и фотографий: Алтунин
Денис Валерьевич
|