Экстравезикальный уретероцистоанастомоз
Оператор - проф. А.Ю. Павлов
Модератор: проф. С.Л. Коварский
Пациент Матвей К., 7 месяцев
Диагноз:
Аномалия мочевыделительной системы.
Рефлюксирующий мегауретер справа.
Хронический пиелонефрит
Анамнез: впервые расширение лоханки левой
почки было выявлено антенатально.
В возрасте 1 месяца ребенок обследован в ДКБ № 2. Установлен
диагноз: рефлюксирующий мегауретер справа. Вторично-сморщенная
правая почка.
Было выполнено дренирование мочевого пузыря уретральным
катетером сроком на 6 месяцев.
Данные обследования
УЗИ - Правая почка – визуализируется с
неровными контурами, размерами 4,6х2,7 см, т.п. 0,6 см.
ЧЛС расширена до 1,5 см. Левая почка с ровными контурами
– 7,2х3,0 см, т.п. 1,1 см. ЧЛС не расширена. В мочевом пузыре
визуализируется баллон катетера. Мочеточники в нижней трети
не определяются.
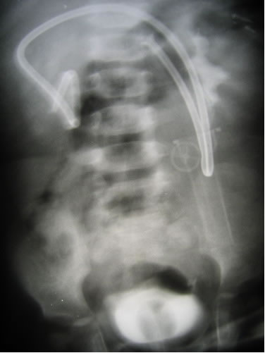
Цистография


С целью определения функционального состояния правой почки
больному было произведено дренирование лоханки правой почки
методом чрескожной пункционной нефростомии. В дальнейшем
ребенок наблюдался амбулаторно. По нефростомическому дренажу
справа выделялось до 300 мл мочи в день. Ребенок поступил
23.10.2006 года для контрольного обследования и определения
тактики лечения
Общий анализ мочи (из нефростомического дренажа)
– относительная плотность 1007, рН 7,0, Л. – 10-12 в п/зр.
Общий анализ мочи (по уретральному катетеру)
– относительная плотность 1012, рН 6,0, Л. – 8 – 10 в п/зр.
Биохимический анализ крови – мочевина
– 4,4 ммоль/л, креатинин 0,04 ммоль/л, СКФ справа – 55 мл/мин,
СКФ слева – 110 мл/мин.
Экскреторная урография


Выполнено оперативное вмешательство:
Уретероцистоанастомоз справа по экстравезикальной
методике
Мочевой пузырь дренирован катетером Фолей № 12F. Под ЭТН
произведен косой разрез в подвздошной области справа. Послойно
внебрюшинно выделен мочевой пузырь и суправезикальный отдел
правого мочеточника. Мобилизована нижняя треть правого мочеточника.
Последний расширен по всей длине, перистальтирует. Мочевой
пузырь прошит викрилом в зоне пузырно-мочеточникового сегмента
и мочеточник отсечен. Выполнено формирование 2-х подслизистых
тоннелей на мочевом пузыре по передне-боковой стенке длиной
2,5см., мочеточник проведен через тоннели и наложены уретероцистоанастомозы,
с предварительной интубацией мочеточника внутренними стентом
№ 6 F. Гемостаз. Послойное ушивание раны. Шов на кожу по
Холстеду. Обработка раны. Асептическая наклейка.
Оперировал А.Ю.Павлов.
Автор обзора : Алтунин
Денис Валерьевич
|