Нефролитолапаксия
Оператор - проф. А.Г. Мартов
Модератор: проф. Н.К. Дзеранов
Пациент Дарвин Х., 4 года
Диагноз:
Мочекаменная болезнь.
Коралловидный камень справа, камень нижней чашечки правой
почки.
Хронический пиелонефрит
Анамнез: в связи с болями в животе ребенок
был обследован в стационаре по м/ж. Диагностированы конкременты
лоханки и нижней чашечки правой почки.
В НИИ урологии ребенок поступил для дообследования и решения
вопроса о тактике лечения.
УЗИ - Правая почка – 7,8х3,4 см, т.п.
1,0 – 1,1 см. В лоханке определяется конкремент размером
до 2,1 см. В нижней чашечке конкремент размером 0,9 см.
Верхняя чашечка расширена до 1,6 – 1,7 см. Лоханка, средняя
и нижняя группа чашечек не расширены. Левая почка – 6,9х3,4
см, т.п. 1,2 см. ЧЛС не расширена. Конкрементов, объемных
образований не выявлено. Мочевой пузырь внутренний контур
четкий. Толщина стенок 0,2-0,3 см. Конкрементов, объемных
образований не выявлено. Гипертрофии паращитовидных желез
нет.
Динамическая нефросцинтиграфия – Секреторно-эвакуаторная
функция левой почки удовлетворительная. Секреторная функция
правой почки снижена. Дефицит очищения 23%. Эвакуация РФП
замедлена на уровне ЧЛС.
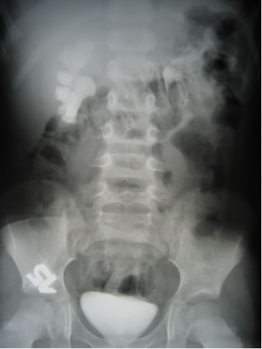
Обзорная и экскреторная урография



Лабораторные данные
- Клинический анализ крови без воспалительных изменений.
- Посев мочи – Proteus 104 КОЕ.
- Общий анализ мочи – лейкоцитурия: 4-6 в п/зр.
- УФМ – инфравезикальной обструкции не выявлено.
Выпонено оперативное вмешательство:
перкутанная нефролитотрипсия, нефролитолапаксия
справа
Оператор: Мартов Алексей Георгиевич
Цистоскоп свободно проведен в мочевой пузырь, катетеризация
мочеточника катетером № 4 F. Типичный доступ в Х межреберье.
Доступ бужирован до 30 F. Нефропиелоскопия по кожуху № 28
F.

Камни подвергнуты трипсии ультразвуковым методом. Удалено
9 конкрементов монолитом, остальные литолапаксией. ЛМС почки
интактен. Контрольная нефропиелоскопия, рентгеноскопия –
резидуальных конкрементов не выявлено. Собирательная система
дренирована нефростомой типа фоллей № 20 F. Дренаж фиксирован
к коже викрилом 2/0. Асептическая повязка. Макрогематурия
минимальная.

Основные этапы операции:



Автор обзора : Алтунин
Денис Валерьевич
|