Пациент
Д.68 лет.
Июль 2004 г. |
| |
ЖАЛОБЫ:
на прогрессирующее обструктивное мочеиспускание в
течение последнего года.
АНАМНЕЗ: амбулаторно
при выполнении УЗИ мочевой системы (обследование по
поводу предполагаемой ДГПЖ) выявлено образование левой
почки. Значимой сопутствующей патологии не имеет.
ФИЗИКАЛЬНО: пациент
соматически сохранен. Пальпируется нижний полюс левой
почки. При ПРИ – признаки доброкачественного увеличения
простаты. |
| |
Лабораторные
показатели: норма. |
ПСА: 2,3
нг/мл. |
Анкета
IPSS: Выраженность симптомов – 14 баллов Качество
жизни – 2 балла |
УЗИ мочевой
системы: Образование пр. надпочечника до 4 см. в O.
Гипоэхогенный узел ср/нижнего сегментов левой почки
10х6х8 см.V простаты – 90 см3. V остат. мочи – 70
мл. Лимфаденопатии нет. |
Урофлоуметрия:
Q max. – 8 мл/мин. при объёме 178 мл. Ост. моча –
80 мл. |
Рентгенография
грудной клетки: возрастные изменения |
| |
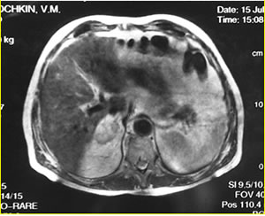
МРТ
забрюшинного пространства
Опухолевый узел левой почки

Mts в правый надпочечник
|
| |
ДИАГНОЗ
Основной: ПКР слева Т3 Nx
M1.
Сопутствующий: ДГПЖ, хрон. неполная задержка мочи.
ТАКТИКА
1. Оперативное лечение по
поводу ПКР. При подтверждении стадии Т3 M1 планируется
проведение химиоиммунотерапии.
2. Фармакотерапия ДГПЖ (альфа-адреноблокаторы).
ОПЕРАЦИЯ
Радикальная нефрэктомия слева
с сохранением левого надпочечника, адреналэктомия
справа. |
| |
ГИСТОЛОГИЧЕСКОЕ
ИССЛЕДОВАНИЕ
Светлоклеточный вариант почечноклеточного
рака.
Grade III. Ядерный индекс Fuhrman 3.
Инвазия паранефральной клетчатки в области ворот.
Лимфоузлы отрицательные.
Правый надпочечник – метастаз ПКР.
ОКОНЧАТЕЛЬНЫЙ
ДИАГНОЗ:
ПКР слева рТ3а N0 M1 (правый
надпочечник).
Низкодифференцированный вариант.
ТЕРАПИЯ:
1. Химиоиммунотерапия 4 курса
(5-фторурацил + альфа-интерферон 5 млн. Ед) с последующей
стандартной монотерапией альфа-интерферон 5 млн. Ед.
2. Кардура 4 мг на ночь.
МОНИТОРИНГ:
общепринятое наблюдение в
течение 8 месяцев не выявило прогресса ПКР. |
| |
Март
2005 г.
спустя
8 месяцев |
| |
Госпитализация
пациента в связи с нарастающей обструктивной симптоматикой
со стороны НМП. |
Клинико-лабораторные
показатели:
Лейкоцитурия. мочевина 8,7 ммоль/л. креатинин – 0,157.
Бак. иссл-е мочи: E. Colli > 106 |
ПСА:
2,9 нг/мл. (+0,6) ПРИ – доброкачественные изменения
простаты. |
Анкета
IPSS: Выраженность симптомов – 31 балл. Качество
жизни – 5 баллов. |
УЗИ
мочевой системы: Единств. правая почка – ЧЛС дилятирована
до 14 мм. Патологических образований в левом забрюшинном
пространстве не выявлено. V простаты – 100 см3. V
ост. мочи- 180 мл. Изменения стнки мочевого пузыря
по типу дивертикулеза. Множественные конкременты мочевого
пузыря. |
Урофлоуметрия:
Q max. – 5 мл/мин. при объёме 183 мл. Ост. моча –
150 мл. |
| |
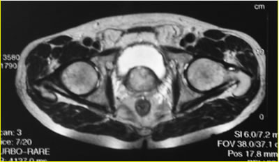
МРТ
таза
|
| |
ДИАГНОЗ
Осн-й: ДГПЖ.
Осл-я: Хроническая неполная задержка мочи.
Гидронефроз един. правой почки. ХПН II A ст. Хроническая
инфекция мочевой системы. Множественные камни мочевого
пузыря
ТАКТИКА
Цистолитотомия. В отсроченном
периоде после нормализации показателей азотистого
обмена (через две недели) – чреспузырная простатэктомия.
Гистологическое исследование - аденоматозно - мышечная
гиперплазия предстательной железы. Продолжено проведение
иммунотерапии. |
| |
Май
2005 г.
спустя
10 месяцев |
| |
Плановый
мониторинг по поводу почечно-клеточного рака ПКР. |
Лабораторные
показатели: В пределах физиологической нормы |
УЗИ
мочевой системы:
Единств. правая почка – 114 х 57 мм. ЧЛС не расширена,
деформирована. В среднем сегменте почки в области
ворот по задней поверхности гипоэхогенный очаг до
2 см в O. Патологических образований в левом забрюшинном
пространстве не выявлено. Лимфоузлы не увеличены. |
Рентгенография
ОГК: возрастные изменения |
Урофлоуметрия:
Q max. – 22 мл/мин. при объёме 256 мл. Ост. мочи нет. |
| |
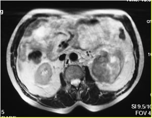
МРТ
забрюшинного пространства
|
| |
ДИАГНОЗ
Метастатическая прогрессия
ПКР на фоне 10 месячной иммунотерапии.
ТАКТИКА
От продолжения иммунотерапия
больной отказался. Пациенту рекомендовано оперативное
лечение, от которого он временно воздержался. |
| |
Ноябрь 2005 г.
спустя
16 месяцев
|
| |
Плановый
мониторинг по поводу почечно-клеточного рака ПКР. |
Клинико-лабораторные
показатели: В пределах физиологической нормы. |
ПСА:
17 нг/мл.
ПРИ – очаговых изменений нет. |
УЗИ
органов брюшной полости и мочевой системы: Единств.
правая почка - опухолевого очага нет. |
ТрУЗИ-допплер
простаты: Объём 28,1 см3. В периферической зоне
справа изоэхогеннй узел 14 х 10 мм. с единичными перинодулярными
сосудами. |
Рентгенография
ОГК: возрастные изменения |
| |
|
| |
ТАКТИКА:
Выполнена полифокальная 12-точечная
биопсия простаты.
РЕЗУЛЬТАТ:
В биоптатах (один из каждой
доли, 70% от общего объёма биоптата) выявлена аденокарцинома,
врастающая в капсулу. Индекс Глисона 5 (3 + 2).
ДИАГНОЗ:
1. Рак простаты Т2С Nx Mx.
Состояние после чреспузырной простатэктомии (03.2005).
2 . Метастатический рак левой почки рТ3а N0 M1 (правый
надпочечник + левая почка). Grade III. Состояние после
радикальной нефрэктомии слева, адреналэктомии справа
(08.2004). Резорбция метастаза в правой почке. |
| |
Ожидаемая
продолжительность жизни пациента – до 2 лет.
ПРЕДЛАГАЕМАЯ
ТАКТИКА ЛЕЧЕНИЯ:
ВАРИАНТЫ:
1. Радикальная простатэктомия
2. Лучевая терапия
3. Гормонотерапия
|