Больной
П. 75 лет |
| |
Январь
2005 г.
Жалобы: тупые боли в поясничной
области справа, артериальная гипертензия до 220/110
мм рт. ст.
Анамнез: в 2000 г. выявлены
(УЗИ) кисты обеих почек. Проводился ежегодный мониторинг.
В ноябре 2004 г. обнаружены опухоли обеих почек. |
| |
Предоперационное
обследование |
Спиральная
компьютерная томография (СКТ)
|
Спиральная
компьютерная томография (СКТ)
Правая почка: в передней
губе в среднем сегменте образование 37*35*23 мм, множественные
кисты диаметром до 20 мм и киста в верхнем сегменте
– 45*36*35 мм.
Левая почка: два образования 15 мм в верхнем
сегменте и 40 мм в среднем сегменте.
Фиброзная касула, регионарные л/у – интактны.
|
ОАК –
норма
ОАМ - норма
Креатинин – 137 мкмоль\л
Мочевина – 7,15 ммоль\л
Реносцинтиграфия – вклад правой почки в общую почечную
функцию – 59%, левой – 41%
УЗИ печени – mts нет
СКТ легких - mts нет |
| |
Операция
27.01.05
Радикальная нефрэктомия слева. Радиочастотная абляция
опухоли правой почки (доступ по Шеврону) |
| |
Методика
радиочастотной абляции (РЧА)
Использовался Cool-tip RF
System (200W, 480 kHz) с трехигольчатым зондом калибра
- 17,5, излучающим наконечником - 3 см и термодатчиком.
Выполнено 2 цикла РЧА по 12 минут без перемещения
зонда под визуальным контролем. Контрольный замер
температуры в опухоли на 1-3 минутах после абляции
составил 730 и 750 С. |

|
| |
| |
Патогистологическое
исследование
Препараты:
левая почка с паранефральной
клетчаткой – первично множественный (2 опухоли) ПКР
(светлоклеточный вариант) Fuhrman’s индекс 1-2 без
инвазии в фиброзную капсулу почки плюс онкоцитома
(5мм)
околоопухолевая паранефральная
клетчатка справа – инвазии опухоли нет. |
| |
Диагноз
Двусторонний полифокальный
светлоклеточный почечно-клеточный рак pTm1bN0M0 слева,
онкоцитома слева, cT1aN0M0 справа, Fuhrman’s 1-2.
Множественные кисты правой почки. |
| |
Послеоперационный
период
Осложнений нет
Выписан на 5 сутки |
| |
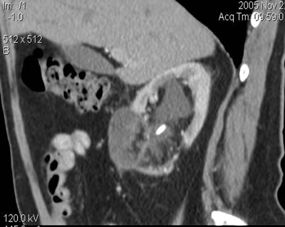
Мониторинг
(2 месяца)
Спиральная компьютерная томография
(СКТ)
В нижнем сегменте - образование
34х32х26 мм, не накапливающее контрастное вещество
(max 17 HU)
Стриктура ЛМС, гидронефроз
Л/у не увеличены

Спиральная компьютерная томография
(СКТ) легких – mts не выявлено |
| |
Осложнение
РЧА
В течение 4 месяцев после
операции:
нарастание дилятации ЧЛС справа;
изменение уровня креатинина крови:
– 0,252 ммоль/л
– 0,320 ммоль/л
– 0,470 ммоль/л |
| |
Операция
17.05.05
Стентирование правого мочеточника |
| |
Послеоперационный
период |
УЗИ
(через 2 недели после установки стента)
Расширение ЧЛС справа уменьшилось
Креатинин – 0,243 ммоль/л |
| |
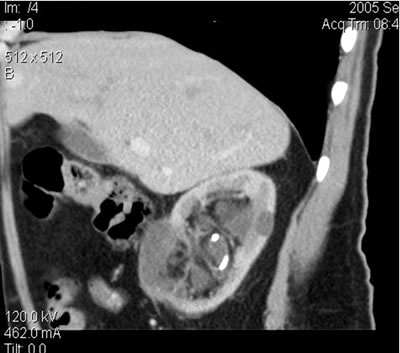
Мониторинг
(7 месяцев)
Спиральная компьютерная томография
(СКТ)
в нижнем сегменте - образование
размером 39х36х28 мм, при болюсном усилении - накапление
контрастного вещества (max 20-23 HU)
|
| |
Мониторинг
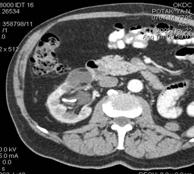
(10 месяцев) 22 ноября 2005
Спиральная компьютерная томография
(СКТ)
в нижнем сегменте - образование
размером 37х35х27 мм, при болюсном усилении накапление
контрастного вещества (max 21-23 HU)
Спиральная компьютерная
томография (СКТ)
 |
Самочувствие
больного хорошее
Физической ослабленности нет
Ведет активный образ жизни
Креатинин крови – 0,210 ммоль\л
Эритроциты и Hb – норма
Данных за mts нет |
|
Следует
ли удалить стент?
Следует ли подвергнуть больного
резекции почки?
Или есть другие вопросы? |