Больной
Д. 53 лет |
| |
В ноябре
2004г. находился на лечении в отделении гематологии
клиники РостГМУ с жалобами на общую слабость и головокружение
с впервые установленным диагнозом:
Хронический Т-клеточный лимфолейкоз
IV ст. по Rai, с преимущественным поражением лимфоузлов
шеи. |
| |
Обследование |
ОАК:
- гемоглобин – 130 г/л
- эритроциты – 4,3 х 1012/л
- лейкоциты – 17,5 х 109/л
-палочко-ядерные нейтрофилы – 1
-сегменто-ядерные нейтрофилы – 4
- лимфоциты – 94
- моноциты – 1
- тромбоциты – (5 0/00) 21,5 х 103/л
Креатинин – норма
ОАМ – норма |
УЗИ
мочевой системы – опухоль нижнего сегмента правой
почки диаметром 35 мм
|
Магнитно-резонансная
томография (МРТ)
правая почка: в нижнем сегменте
образование диаметром 32 мм, с неоднородной структурой
и участками кровоизлияний; в верхнем сегменте – две
кисты 13 и 19 мм
|
КТ легких
– норма.
УЗИ брюшной полости – метастазов в печени нет. |
| |
Диагноз
Инцидентальный почечно-клеточный
рак Т1аN0M0 справа.
Простые кисты правой почки.
Хронический Т-клеточный лимфолейкоз
IV ст. по Rai, с преимущественным поражением лимфоузлов
шеи. |
| |
Предоперационная
подготовка
Иммуноглобулин нормальный
человеческий 25,0 в/в кап. 1 раз в день.
Преднизолон 60 мг в/в струйно 3 раза в день.
Этамзилат 12,5% - 2,0 мл в/в струйно 3 раза в день. |
| |
Операция
26.01.05
Лапароскопическая радиочастотная абляция опухоли правой
почки.
Методика РЧА (J.J. Hwang et al, 2004):
Использовался Cool-tip RF System (200W, 480 kHz) с
одноигольчатым зондом калибра - 17,5, излучающим наконечником
- 3 см и термодатчиком. Радиочастотная абляция - двумя
циклами с переустановкой зонда в течение 15 и 12 минут.
Контрольный замер температуры в опухоли на 1-3 минутах
после абляции составил 710 и 740
С. |
| |
Операция
|

|
Патогистологическое
исследование
Препарат – околоопухолевая
паранефральная клетчатка:
материал представлен жировой
клетчаткой с очагами склероза, полнокровием сосудов,
с очаговой геморрагической инфильтрацией. |
| |
Послеоперационный
период
Осложнений нет
Выписан на 4 сутки |
| |
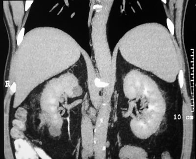
Мониторинг
(2 месяца)
Спиральная
компьютерая томография (СКТ)
в нижнем сегменте правой почки
образование размером 30х33х36 мм, не накапливающее
контрастное вещество (max 15 HU).
|
Спиральная
компьютерая томография (СКТ)
|
Спиральная
компьютерая томография (СКТ)
|
| |
Мониторинг
(7 месяцев)
КТ легких – норма.
УЗИ брюшной полости – метастазов в печени нет. |
Спиральная
компьютерая томография (СКТ)
в нижнем сегменте образование
30х34х40 мм, располагающееся экстраренально, структура
неоднородна с наличием компонентов жировой плотности
по периферии, а также мягкотканой части.
|
Спиральная
компьютерая томография (СКТ)
в паранефральной клетчатке
- умеренные фиброзные изменения.
|
Спиральная
компьютерая томография (СКТ)
|
Спиральная
компьютерая томография (СКТ)
|
| |
Выводы
- У больного Д. с хроническим
лимфолейкозом с неблагоприятным, связанным с сочетанной
онкопатологией, прогнозом течения заболевания и ожидаемой
продолжительностью жизни не более 1 года (без оперативного
лечения ПКР), выполнена лапароскопическая РЧА опухоли.
- СКТ-мониторинг определил деструкцию очага, которая
является позитивным результатом лечения ПКР.
- Метод РЧА опухоли был выбран в связи с тяжёлой тромбоцитопенией. |