Операция: Лапароскопическая радикальная нефрэктомия

Операционная бригада:

профессор Пучков Константин Викторович (Медицинский Центр Управления Делами Мэра и Правительства Москвы),
к.м.н. Гусев А. А. (РостГМУ),
к.м.н. Костюков С. И. (РостГМУ).

Модератор – профессор Коган М. И.
Пациент С., 77 лет
Жалобы: Тупые боли в левой поясничной области без связи с физ. нагрузкой
Анамнез: Симптомы - с октября 2007 года
Лабораторные данные:
- ОАК: норма
- ОАМ: эритроцитурия
- Креатинин крови: норма
- ПСА: норма
УЗИ:
- Почки:
- Правая – множественные кисты от 11 до 25 мм.
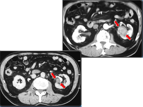
- Левая – в верхнем полюсе – киста 49 х 50 мм, в нижнем полюсе – киста 12 мм. В среднем сегменте – гипоэхогенное образование 26 х 28 мм.
- V простаты – 12 см3
- Остаточная моча – нет
- Печень – без патологии
СКТ

Кисты обеих почек, размерами от 16 х 18 мм до 33 х 33 мм. В верхнем полюсе левой почки – киста 47 x 51 мм. В среднем сегменте левой почки – образование, неоднородной структуры, с четкими, неровными контурами, размером 31 x 35 мм.

СКТ
- Грудной клетки – норма
- Брюшной полости - норма
Диагноз:
- Инцидентальная опухоль левой почки T1а N0 M0
- Множественные кисты обеих почек
- Существенных сопутствующих заболеваний нет. Физический статус больного отличный. Ожидаемая продолжительность жизни – более 5 лет
Операция:
Лапароскопическая радикальная нефрэктомия слева
Во время операции профессор отметил, что при стадии рака почки Т1 лимфаденоэктомия не показана. Она выполняется лишь в случае визуального увеличения лимфоузлов. У 1/4 больных со стадиями Т1 и Т2 выявляются микрометастазы в лимфатические узлы, но на данный момент неизвестно, как они влияют на выживаемость больных. Адреналэктомия, даже при опухолях верхнего полюса почки, также может быть только рекомендована, но не является стандартом. Это объясняется тем, что в настоящее время есть методы исследования (компьютерная томография), которая еще дооперационно позволяет оценить степень инвазии опухоли. Хотя эти два мнения - по поводу адреналэктомии и лимфаденэктомии - в настоящее время остаются весьма дискутабельными. ЛРНЭ, по мнению профессора, это трансабдоминальная хирургия, а не внебрюшинная, т. к. легче осуществляется доступ к сосудам. Основой профилактики осложнений является выделение главного сосуда у его основания.
Урологи, затаив дыхание, наблюдали за виртуозной работой профессора Пучкова К. В. Операция была выполнена блестяще. Продолжительность операции с 9.00 до 10.34.

Послеоперационный период протекал без осложнений. Страховой дренаж удален на 4 сутки. Послеоперационные раны зажили первичным натяжением. Швы сняты на 7 сутки.
Гистологическое заключение. Умеренно-дифференцированный почечно-клеточный рак. Папиллярный вариант 1 типа. с обширными некрозами гемосидерозом хроническим воспалением. Инвазия опухоли в клетчатку и сосуды почечного синуса, лоханку. Вне опухоли – папиллярные аденомы, солитарные кисты, хр. тубулоинтерстициальный нерфит с очагами нефрослероза. Аденоматозная гиперплазия коры надпочечника.
pT3aN0M0 G2
Авторы обзора:
|