Операция: Открытая
радикальная нефрэктомия
Диагноз: Рак правой почки
Т2NxM0. Хронический калькулезный холецистит, ремиссия. Гипертоническая
болезнь – 2 ст.
Оперирует: Профессор Дмитрий
Юрьевич Пушкарь (г. Москва), Московский Государственный
Медико-Стоматологический Университет

Модератор: профессор Леонид
Михайлович Гориловский
Доклад больного
 |
НАУЧНО-ИССЛЕДОВАТЕЛЬСКИЙ
ИНСТИТУТ УРОЛОГИИ МЗСР РФ
ШКОЛА
ПО ЭНДОСКОПИЧЕСКОЙ И ОПЕРАТИВНОЙ УРОЛОГИИ
МОСКВА,
8-10 ДЕКАБРЯ 2004 г. |
Пациентка: |
С. |
Возраст: |
49 лет |
Клинический диагноз: |
Рак правой почки Т2NxM0.
Хронический калькулезный холецистит, ремиссия.
Гипертоническая болезнь – 2 ст. |
Операция: |
Радикальная нефрэктомия
справа. Холецистэктомия. |
Оперирующий уролог: |
проф. Пушкарь Д.Ю. |
Операционная №: |
1 |
Дата: |
8.12 .2004 г. |
ЖАЛОБЫ: |
На
периодические тянущие боли в поясничной области
справа. |
АНАМНЕЗ: |
Вышеуказанные
жалобы беспокоят в течение 4 месяцев. Около
1 месяца назад, при обследовании по поводу хронического
калькулезного холецистита выявлена опухоль правой
почки больших размеров.
Поступила для обследования
и определения дальнейшей тактики лечения. |
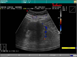
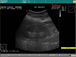
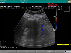
УЗИ: |
|
|
|
|
|
КТ
органов брюшной полости, забрюшинного пространства: |
|
|
|
|
|
|
|
Обследование
по поводу отдаленных метастазов |
|
|
|
|
Статическая
остеосцинтиграфия: |
Очагов
патологического накопления РФП в костях скелета
не выявлено. |
Динамическая
нефросцинтиграфия: |
Секреторно
– эвакуаторная функция левой почки – удовлетворительная,
правой почки снижена на 42 %. |
| |
Планируется
оперативное вмешательство в объеме радикальной
нефрэктомии справа. Холецистэктомии. |
|
Ход операции ...
Автор обзора Шадёркин
Игорь Аркадьевич
|