Операция: Перкутанная
нефролитолапаксия, литоэкстракция справа
Диагноз: МКБ. Камень правой
почки. Хронический пиелонефрит.
Оперирует: Профессор Мартов
Алексей Георгиевич, НИИ Урологии МЗ РФ, г. Москва

Модератор: Профессор
Винаров Андрей Зиновьевич.
Доклад больного
 |
НАУЧНО-ИССЛЕДОВАТЕЛЬСКИЙ
ИНСТИТУТ УРОЛОГИИ МЗСР РФ
ШКОЛА
ПО ЭНДОСКОПИЧЕСКОЙ И ОПЕРАТИВНОЙ УРОЛОГИИ
МОСКВА,
8-10 ДЕКАБРЯ 2004 г. |
Пациентка: |
Ч. |
Возраст: |
46 лет |
Клинический диагноз: |
МКБ. Камень правой
почки. Хронический пиелонефрит. |
Операция: |
Перкутанная нефролитолапаксия,
литоэкстракция справа. |
Оперирующий уролог: |
проф. Мартов А.Г. |
Операционная №: |
Эндоскопическая операционная |
Дата: |
9.12 .2004 г. |
ЖАЛОБЫ: |
На
периодические тупые боли в поясничной области
справа. |
АНАМНЕЗ: |
В
1994 г. при амбулаторном обследовании выявлен
камень правой почки.
В апреле 2004 г. обследовалась
амбулаторно в поликлинике НИИ урологии.
Пациентка госпитализирована
в плановом порядке в НИИ урологии МЗ РФ для
оперативного лечения. |
УЗИ: |
Левая
почка: 11.5 х 5.6
см. ТП 1.7 см. ЧЛС не расширена. Конкрементов,
объемных образований не выявлено. Правая
почка: 12.1 х 6.1 см. ТП 1.7 см. В лоханке,
средней и нижней чашечках определяется формирующийся
коралловидный конкремент, окруженный незначительным
количеством жидкости. Верхняя чашечка расширена
до 2,6 см. Мочеточник в верхней трети не визуализируется.
ПРИ ЦДК слева–кровоток не изменен, тип кровоснабжения
магистральный, патологической васкуляризации
не выявлено. При ЦДК справа кровоток незначительно
снижен, тип кровоснабжения магистральный. Патологической
васкуляризации не выявлено. Мочевой
пузырь не изменен. |
ОБЗОРНАЯ
УРОГРАФИЯ: |
|
ЭКСКРЕТОРНАЯ
УРОГРАФИЯ: |
|
|
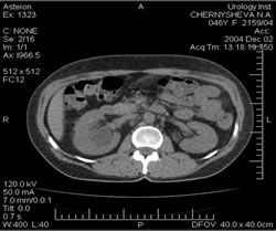
КОМПЬЮТЕРНАЯ
ТОМОГРАФИЯ: |
|
|
КОМПЬЮТЕРНАЯ
ТОМОГРАФИЯ С БОЛЮСНЫМ КОНТРАСТИРОВАНИЕМ: |
|
|
ДИНАМИЧЕСКАЯ
НЕФРОСЦИНТИГРАФИЯ: |
Секреторно-эвакуаторная
функция левой почки удовлетворительная. Cекреторная
функция правой почки снижена на 40%, отмечается
замедление эвакуации РФП. |
|
| |
Планируется
оперативное вмешательство в объеме перкутанной
нефролитолапаксии, литоэкстракции справа.
|
|
Ход операции ...
Автор обзора Шадёркин
Игорь Аркадьевич
|