Операция: Лапароскопическая
уретеролитотомия справа.
Диагноз: МКБ. Камень правой
почки. Камень верхней трети правого мочеточника. Гидронефроз
справа. Хронический пиелонефрит.
Оперирует: Доктор медицинских
наук Медведев Владимир Леонидович, ОМЛДЦ,
г. Ростов-на-Дону

Модератор: Профессор Пучков
Константин Викторович, МА, г. Рязань.
Доклад больного
 |
НАУЧНО-ИССЛЕДОВАТЕЛЬСКИЙ
ИНСТИТУТ УРОЛОГИИ МЗСР РФ
ШКОЛА
ПО ЭНДОСКОПИЧЕСКОЙ И ОПЕРАТИВНОЙ УРОЛОГИИ
МОСКВА,
8-10 ДЕКАБРЯ 2004 г. |
Пациентка: |
Т. |
Возраст: |
50 лет |
Клинический диагноз: |
МКБ. Камень правой
почки. Камень верхней трети правого мочеточника.
Гидронефроз справа. Хронический пиелонефрит. |
Операция: |
Радикальная нефрэктомия
справа. Холецистэктомия. |
Оперирующий уролог: |
д.м.н. Медведев В.Л. |
Операционная №: |
1 |
Дата: |
9.12 .2004 г. |
ЖАЛОБЫ: |
На
периодические тупые ноющие боли в поясничной
области справа.
|
АНАМНЕЗ: |
1990
г. - выявлен конкремент правой почки.
1991 г. - ДЛТ правого
мочеточника.
1992 г. - ДЛТ левого
мочеточника.
В последующем у пациентки
до настоящего времени неоднократно возникали
почечные колики сопровождающиеся самостоятельным
отхождением конкрементов.
В ноябре 2004 г. при
амбулаторном обследовании в поликлинике НИИ
урологии выявлен конкремент правого мочеточника,
гидронефротическая трансформация справа.
Пациентка в плановом
порядке госпитализирована в НИИ урологии МЗ
СР РФ для оперативного лечения. |
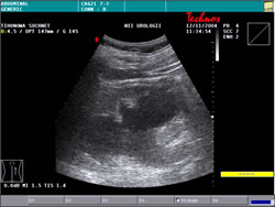
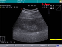
УЗИ: |
|
|
|
|
ОБЗОРНАЯ
И ЭКСКРЕТОРНАЯ УРОГРАФИЯ: |
|
|
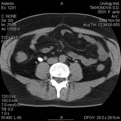
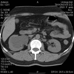
Компьютерная
томография: |
|
 |
|
|
Динамическая
нефросцинтиграфия: |
Секреторно-эвакуаторная
функция левой почки удовлетворительная. Справа
отмечается отмечается значительное замедление
эвакуации РФП и снижение секреторной функции
почки с дефицитом очищения 74%. |
|
| |
Планируется
оперативное вмешательство в объеме лапароскопической
уретеролитотомии справ.
|
|
Ход операции ...
Автор обзора Шадёркин
Игорь Аркадьевич
|