Операция: Пластика
белочной оболочки полового члена
Диагноз: Болезнь Пейрони
с синдромом деформации
Оперирует: Профессор Петров
Сергей Борисович (г. Санкт-Петербург)
Модератор: Адамян Рубен Татевосович,
Крупин Валентин Николаевич
Доклад больного
Больной
Л. 42 года |
Жалобы
:
-
Болезненное уплотнение
на тыльной и левой боковой поверхности полового
члена
-
Искривление полового члена
во время эрекции
|
Анамнез |
-
Женат
-
Болен 2 года
-
Симптоматика прогрессирует
-
Половые акты стали трудно
осуществимыми
|
Обследование |
Физикально
– в области тыльной поверхности и левого кавернозного
тела полового члена, а также у корня определяются
плотные ригидные, пластинчатые образования 1,5x3 см |
Обследование |
Физикально –
эрекция в домашних условиях |
| |
|
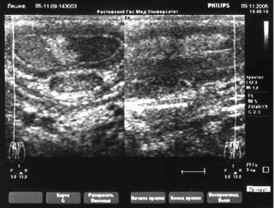
УЗИ
полового члена |
|
Диагноз |
Болезнь
Пейрони с синдромом деформации |
Операция |
Пластика
белочной оболочки полового члена |
Далее (ход операции)
...
Вы можете приобрести DVD диски
с записью всех операций, проведенных на VII Российской Школе
оперативной урологии. Более подробная информация находится
на этой странице.
Автор обзора Шадёркин
Игорь Аркадьевич
|