Выставки и съезды

VII Российская Школа оперативной урологии. Ростов-на-Дону, 7-9 декабря 2005 года

Операция: Лапароскопическая резекция правой почки

Диагноз: Почечно-клеточный рак справа Т1aN0M0

Профессор Медведев Владимир Леонидович (Ростов-на-Дону)

Навигация:

Доклад больного

Ход операции:

Оперирует: Профессор Медведев Владимир Леонидович (Ростов-на-Дону).

Крупин Валентин Николаевич Адамян Рубен Татевосович

Модератор: Адамян Рубен Татевосович, Крупин Валентин Николаевич


Доклад больного

Больная Ж . 40 лет

Жалоб нет

Анамнез

  • В 1997 году нефролитотомия слева по поводу камня левой почки, гидронефроза слева

  • В сентябре 2005 года при диспансеризации и УЗИ брюшной полости выявлена опухоль правой почки

Обследование

Физикально – почки не пальпируются

Обследование

  • ОАК – норма

  • ОАМ – норма

  • Посев мочи – моча стерильна

  • Креатинин – норма

  • Кальций крови, щелочная фосфатаза – норма

Обследование

УЗИ мочевой системы – опухоль почки 18 мм

УЗИ мочевой системы – опухоль почки 18 мм

Обзорная и экскреторная урография

Обзорная и экскреторная урография. Рак почки.

Обзорная и экскреторная урография. Рак почки.

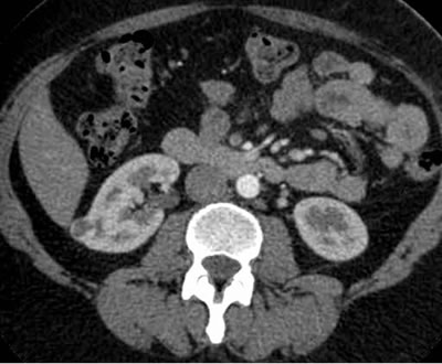
КТ (Компьютерная томография)

КТ (Компьютерная томография). Рак почки.

КТ (Компьютерная томография). Рак почки.

Обследование

  • КТ легких – норма

  • УЗИ и КТ брюшной полости – метастазов в печени нет

Диагноз

Почечно-клеточный рак справа Т1aN0M0

Операция

Лапароскопическая резекция правой почки

 

Далее (ход операции) ...


Вы можете приобрести DVD диски с записью всех операций, проведенных на VII Российской Школе оперативной урологии. Более подробная информация находится на этой странице.

Автор обзора Шадёркин Игорь Аркадьевич