Выставки и съезды

VII Российская Школа оперативной урологии. Ростов-на-Дону, 7-9 декабря 2005 года

Операция: Субингвинальная микрохирургическая перевязка вен левого семенного канатика

Диагноз: Левостороннее варикоцеле III ст. с болевым синдромом

Кандидат медицинских наук, Сизякин Дмитрий Владимирович (Ростов-на-Дону)

Навигация:

Доклад больного

Ход операции:

Оперирует: Кандидат медицинских наук, Сизякин Дмитрий Владимирович (Ростов-на-Дону)

Профессор, Коган Михаил Иосифович (Ростов-на-Дону)

Модератор: Профессор, Коган Михаил Иосифович (Ростов-на-Дону).


Доклад больного

Больной З. 13 лет

Жалобы :

  • Болевой синдром в левой половине мошонки, усиливающийся при физических нагрузках

Анамнез

  • Болен 6 месяцев

  • Боли стабильные, мешают занятиям спортом

Обследование

  • ОАК - норма

  • ОАМ – норма

  • Физикально – расширение вен гроздьевидного сплетения слева определяется визуально, в горизонтальном положении гроздьевидное сплетение не пальпируется

Обследование

УЗИ мошонки – яички нормальных размеров, признаки варикоцеле слева

УЗИ мошонки – яички нормальных размеров, признаки варикоцеле слева

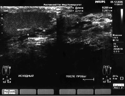
Дуплексное сканирование глубоких вен кавальной системы – диаметр вен до 2,2 мм, после пробы Вальсальвы – 2,8 мм, ретроградный кровоток – 3,2 сек

Дуплексное сканирование глубоких вен кавальной системы – диаметр вен до 2,2 мм, после пробы Вальсальвы – 2,8 мм, ретроградный кровоток – 3,2 сек

Дуплексное сканирование глубоких вен кавальной системы – диаметр вен до 2,2 мм, после пробы Вальсальвы – 2,8 мм, ретроградный кровоток – 3,2 сек

Диагноз

Левостороннее варикоцеле III ст. с болевым синдромом

Операция

Субингвинальная микрохирургическая перевязка вен левого семенного канатика

 

Далее (ход операции) ...


Вы можете приобрести DVD диски с записью всех операций, проведенных на VII Российской Школе оперативной урологии. Более подробная информация находится на этой странице.

Автор обзора Шадёркин Игорь Аркадьевич