Операция: Открытая
радикальная нефрэктомия справа. Холецистэктомия
Диагноз: Почечно-клеточный
рак справа Т2-3Nх-1M0. Желчно-каменная болезнь
Оперирует: Профессор, Лоран
Олег Борисович (г. Москва).
Модератор: Профессор, Коган
Михаил Иосифович (Ростов-на-Дону).
Доклад больного
Больная
Б . 51 год |
Жалоб
нет |
Анамнез |
При УЗИ
брюшной полости после операции гистерэктомии по поводу
миомы матки (1 ноября 2005 года) выявлена опухоль
правой почки |
Обследование |
Физикально
– пальпируется нижний полюс правой почки |
Обследование |
-
ОАК – норма
-
ОАМ:
-
белок 0,075 г/л
-
эритроциты изм. 6-8
х'
-
гиал. цилиндр – 0-0-1
х‘
-
Креатинин – норма
-
Кальций крови, щелочная
фосфатаза - норма
|
Обследование |
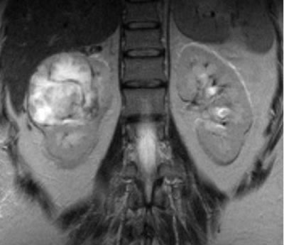
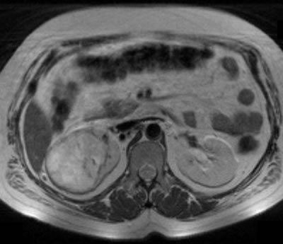
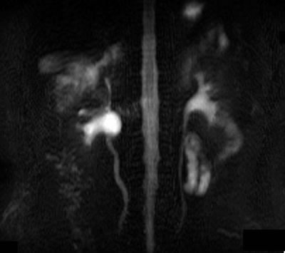
УЗИ мочевой системы – опухоль
верхнего сегмента диаметром 8 см
|
МРТ |
|
Обследование |
-
МРТ – регионарные лимфоузлы
увеличены до 15-17 мм в диаметре, в желчном пузыре
несколько камней с максимальным размером 6-7 мм
-
КТ легких – норма
-
УЗИ и КТ брюшной полости
– метастазов в печени нет, гемангиома печени 22
мм
|
Диагноз |
Почечно-клеточный
рак справа Т2-3Nх-1M0
Желчно-каменная болезнь |
Операция |
Открытая
радикальная нефрэктомия справа
Холецистэктомия |
Далее (ход операции)
...
Вы можете приобрести DVD диски
с записью всех операций, проведенных на VII Российской Школе
оперативной урологии. Более подробная информация находится
на этой странице.
Автор обзора Шадёркин
Игорь Аркадьевич
|