Выставки и съезды

VII Российская Школа оперативной урологии. Ростов-на-Дону, 7-9 декабря 2005 года

Операция: Радикальная цистэктомия с кишечной деривацией мочи (ортотопический резевуар)

Диагноз: Многофокусный переходно-клеточный рак мочевого пузыря T2NхM0 G2

Профессор, Коган Михаил Иосифович (Ростов-на-Дону)

Навигация:

Доклад больного

Ход операции:

Оперирует: Профессор, Коган Михаил Иосифович (Ростов-на-Дону).

Профессор, Лоран Олег Борисович (г. Москва).

Модератор: Профессор, Лоран Олег Борисович (г. Москва).


Доклад больного

Больной К. 49 лет

Жалобы :

  • Наличие крови в моче

Анамнез

  • Болеет 3 месяца

Обследование

  • ОАК – норма

  • Креатинин – норма

  • ОАМ – тотальная эритроцитурия

  • Посев мочи – моча стерильна

  • ПСА - норма

Обследование

УЗИ мочевой системы – гидронефроза нет, объем мочевого пузыря 300 см3, многофокусный t-r

УЗИ мочевой системы

УЗИ мочевой системы. Рак мочевого пузыря.

УЗИ мочевой системы. Рак мочевого пузыря.

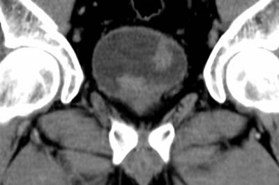
СКТ (Спиральная компьютерная томография)

СКТ (Спиральная компьютерная томография) . Рак мочевого пузыря.

Обследование

Морфология – переходно-клеточный многофокусный мышечноинвазивный рак мочевого пузыря G2

Обследование

  • Рентгенография легких – норма

  • КТ легких – норма

  • УЗИ брюшной полости – норма

  • КТ таза – увеличение до 1,5 см одного лимфоузла в области

  • запирательной ямки слева

Диагноз

Многофокусный переходно-клеточный рак мочевого пузыря T2NхM0 G2

Операция

Радикальная цистэктомия с кишечной деривацией мочи (ортотопический резевуар)

 

Далее (ход операции) ...


Вы можете приобрести DVD диски с записью всех операций, проведенных на VII Российской Школе оперативной урологии. Более подробная информация находится на этой странице.

Автор обзора Шадёркин Игорь Аркадьевич