Съезд Ассоциации Урологов Дона
с международным участием. Ростов-на-Дону, 27-28 октября
2004 года.
Лекция: "Прогностические факторы при раке
предстательной железы".
Лектор А. Э. Мационис, д. м. н. Академик
РАМН. 28 октября 2004 года, Ростов-на-Дону.
Начало | Назад
| Далее
Прослушать лектора
|
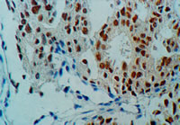
Гистологический
тип опухоли
| клетки
железистого секреторного эпителия экспрессируют
цитокератины 8,18,19, эпителиальный мембранный
антиген (ЕМА), а также простатический специфический
антиген (ПСА) и простатическую кислую фосфатазу
(ПКФ).
клетки
имеют рецепторы к андрогенам (AR)
не
имеют рецепторов к эстрогену (ER) и прогестерону
(PR)
|


|
|
Прослушать лектора
Начало | Назад
| Далее
Автор обзора Шадёркин
Игорь Аркадьевич
|