Выставки и съезды

Съезд Ассоциации Урологов Дона с международным участием. Ростов-на-Дону, 27-28 октября 2004 года.

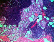
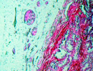
Лекция: "Прогностические факторы при раке предстательной железы".

А. Э. Мационис, д. м. н. Академик РАМН

Все слайды:

1 2 3 4 5 6 7 8 9 10

11 12 13 14 15 16 17 18 19 20

21 22 23 24 25 26 27

Лектор А. Э. Мационис, д. м. н. Академик РАМН. 28 октября 2004 года, Ростов-на-Дону.

Начало | Назад | Далее

Прослушать лектора

 

система стадирования (TNM)

 

 

Прослушать лектора

Начало | Назад | Далее

Автор обзора Шадёркин Игорь Аркадьевич